上期我们已经学习了细胞基本形态,细胞健康及异常状态下的特征,学会如何辨别细胞是否异常,接着从污染方面进行了深度解析。(戳此处查看原文) 但是导致细胞形态异常的罪魁祸首并不一定是污染,今天我们将从细胞培养营养体系、传代操作、培养条件、耗材等方面进行深度的剖析。 营养体系 l 细胞名称并不能判断细胞是否好养 癌细胞只是“长生不老”,不代表它需要的营养可以降低,原代寿命短暂(分裂50-60次),但也不代表它对营养的需求高。 绝大多数细胞均可使用基础培养基+血清来养,少数细胞可以使用无血清体系培养,并且未来细胞培养体系的走势是趋向于无血清培养体系发展的。 l 细胞合适的营养体系 下面是较权威的细胞培养体系查询网站,可供大家参考。 中国菌种库:http://www.biobw.org/ 血清 因为细胞所需的营养因子来自于血清,因此血清的这些事儿大家也需要了解~ 成分 浓度 成分 浓度 蛋白和多肽 磷脂 0.7-3.0 mg/ml 白蛋白 20-50 mg/ml 丙酮酸 2-10 μg/ml 胎球蛋白 10-20 mg/ml 碳水化合物 纤连蛋白 1-10 ug/ml 葡萄糖 0.6-1.2 mg/ml 球蛋白 1-15 mg/ml 乳酸 0.5-2.0 mg/ml α-抗胰蛋白酶 0.5-2.5 mg/ml 多胺 转铁蛋白 2-4 mg/ml 丁二胺,亚精胺 0.1-1.0 uM 生长因子 尿素 170-300 ug/ml EGF, PDGF, IGF-I, IL-1 1-100 ng/ml 无机物 氨基酸 0.01-1.0 uM 钙,氯化物,钾,磷 脂质 激素 胆固醇 10 uM 胰岛素 1-100 ng/ml 脂肪酸 0.1-1.0 uM 皮质醇 10-200 nM 亚油酸 0.01-0.1 uM 维生素 10 ng-10 ug/ml 1)血清批间差可导致细胞聚团 小鼠黑色素瘤细胞B16-F10(图源客户,仅供学习参考) 2)血清批间差可导致细胞形态改变,导致细胞失去原本该有的上皮样,成纤维样或神经母瘤样形态,边缘模糊溃烂或长角。 293T人肾上皮细胞系(图源客户,仅供学习参考) 3)血清批间差可导致胞内空泡化 l 新开了一瓶血清(货号没变,批号改变),复苏或传代后的细胞形态正常,增殖变慢,本来2天传的,可能要3或4天传了,可以适当加高血清比例到15%或20%(最高不能超过20%)。 l 新开了一瓶血清(货号没变,批号改变),复苏或传代后的细胞前2代还可以,然后越传越差,形态改变,增值缓慢,一般传到5,6代,细胞无法再继续传代。 l 新开了一瓶血清(货号没变,批号改变),复苏或传代后的细胞半死不活的样子,不增殖也不凋亡。 l 新开了一瓶血清(货号没变,批号改变),复苏或传代后的细胞漂浮严重,贴壁性变差,凋亡严重。 建议先进行批号测试,筛选出合适批号,购买半年甚至一年以上的用量,避免批间差造成实验波动(胎牛血清在-20℃保存可达5年)。 1 ) 建议加高血清比例到15%~20% 2 ) 可购买ITS(4%胎牛血清+1%ITS+95%基础培养基) 3 ) 更换血清批次 基础培养基 成分 浓度 氨基酸 必需氨基酸 苯丙氨酸、亮氨酸、缬氨酸、赖氨酸、异亮氨酸、色氨酸、苏氨酸和蛋氨酸(8种) 16-146 mg/L 非必须氨基酸 丙氨酸、精氨酸、天冬酰胺、天冬氨酸、半胱氨酸、谷氨酸、谷氨酰胺、甘氨酸、组氨酸、脯氨酸、丝氨酸和酪氨酸(12种) 30-584 mg/L 无机盐 二水氯化钙、Ferric nitrate、硫酸镁无水、KCl、氯化钠、无水磷酸二氢钠、碳酸氢钠 0.1-6400 mg/L 维生素 氯化胆碱、泛酸钙、叶酸、烟酰胺、盐酸吡哆醛、核黄素、盐酸硫胺素、肌醇 0.4 -7.2 mg/L 碳水化合物 葡萄糖 1000-4500 mg/L 丙酮酸钠 110 mg/L 其它 酚红 15.9 mg/L l 有的细胞用不同的基础培养基增殖效果和形态很好,没有明显差别。 l 有的细胞使用不同的培养基增殖效果都可以,但存在一种增殖速度与形态是最优的产品。 l 有的细胞可能只适合特定的基础培养基,细胞对于培养基的某种条件要求比较高(比如pH缓冲性,渗透压,微生物或葡萄糖的需求等)。 l 基础培养基为化学合成定量生产产品,批间差几乎不存在。 l 在未更换血清品牌及批次的前提下更换了基础培养基,可能导致细胞复苏或传代后增殖变慢,不同品牌同种培养基的浓度含量也是有差异的。 l 在未更换血清品牌及批次的前提下,培养基开封4℃下放置超过一个月,在这一个月内细胞增殖速度越来越慢,有可能是谷氨酰胺降解或二氧化碳溢出导致pH值降低,培养基偏紫,因此,建议培养基开封后一周内使用完。 生长因子 作用 成纤维细胞生长因子(fibroblast growth factor, FGF) 促进成纤维细胞、平滑肌细胞增殖 表皮细胞生长因子(epidermal growth factor,EGF) 促进上皮细胞、内皮细胞、成纤维细胞的增殖 血管内皮生长因子(vascular endothelial growth factor,VEGF) 促进血管内皮细胞增殖 白介素(Interleukin 2,IL-2) 促进T淋巴、B淋巴、NK细胞、LAK、TIL细胞增殖 重组胰岛素(Insulin, BI:01-818) 胰岛素能刺激众多的细胞增殖与分化 牛垂体提取液(BPE) BPE是无血清的促有丝分裂添加剂,含有天然生长因子的独特混合物,可促进上皮、干细胞等增殖 氢化可的松(hydrocortisone) 促进特定细胞增殖如人正常乳腺上皮细胞 霍乱霉素(choleratoxin) 促进特定细胞增殖如人正常乳腺上皮细胞 牛血清白蛋白(BSA) 主要用于无血清培养基中,白蛋白可起到生理和机械保护作用和载体作用 B27 神经细胞培养无血清添加剂,适用于大鼠海马和皮质神经元的长期培养 传代操作 传代过程中胰酶消化过程会影响细胞,导致出现聚团现象。 小鼠黑色素瘤细胞B16-F10((图源客户,仅供学习参考) 复苏的原代细胞增殖良好,一旦传代就出现聚团,除图例中的,还有间充质干细胞尤其“喜欢”聚团现象。 这时需要考虑一下几点: 普通胰酶(0.25%胰蛋白酶,0.02%EDTA)纯度不够高,含有的杂酶,比如羧肽酶对细胞有伤害,像神经元类会比较敏感,比如小鼠海马神经元HT22。 消化不足,细胞粘连在一起,吹打时细胞成片脱落,容易聚团; 消化过度,细胞消化严重,破损的细胞碎片容易粘连聚团。 吹打过猛,细胞机械损伤大,细胞聚团明显。 培养条件 哺乳动物是37℃,昆虫细胞是28℃。 通过向水盘加水,让水分蒸发,湿度达到95%。 CO2既是细胞代谢产物,也是细胞所需成分,它主要与维持培养液的pH有直接关系。 耗材 培养瓶的主要成分是 polystyrene(PS),其表面是疏水的,一次性细胞培养皿等标明Tissue culture treated,是表明该器皿经过表面的改性处理,适合贴壁细胞的培养。 不止一位用户培养细胞,细胞呈现成片增殖,密度不均匀,空白地方“寸草不生”,这个时候极有可能是耗材改性处理不当或不均匀所致。 欢迎关注公众号留言咨询,给您最合适的解决方案~ 了解详细信息可戳原文,转载请标明出处。
细胞对于营养体系是有需求差异的
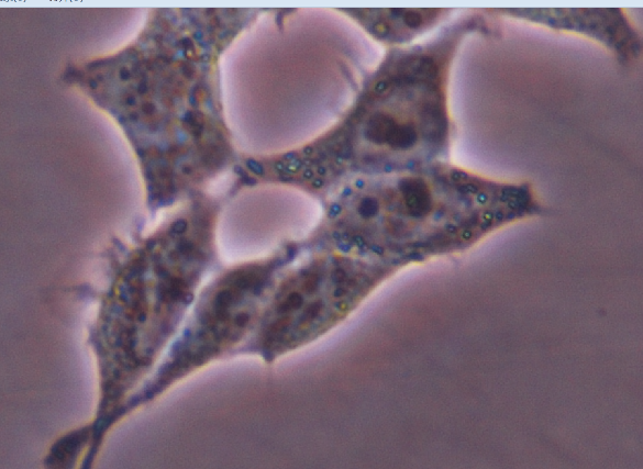
02 血清批间差
血清来源于动物,其组成成分有1000多种,且血清组成及含量常随供血动物的年龄、生理条件和营养条件而变化。因此,每个批次的组分百分比含量都是不固定的,批间差异是不可避免的。



03 细胞对于血清批间差敏感有以下表现:
预防
03 细胞对于基础培养基敏感表现
04 特殊细胞对于生长因子的需求


BI 中国市场部:上海逍鹏生物科技有限公司
详情点击:阅读原文
细胞形态异常剖析 Step2
作者:上海逍鹏生物科技有限公司 2021-09-07T17:24 (访问量:12876)
上海逍鹏生物科技有限公司 商家主页
地 址: 上海市奉贤区汇丰西路2082号9幢
联系人: 市场部
电 话: 021-58785545,18918495545
传 真: 021-58777053
Email:sales@xpbiomed.com
相关咨询
hPSC多能干细胞来源类器官培养Protocol (2023-08-25T00:00 浏览数:22009)
临床标准:Biolaminin助力细胞大规模生产 (暂无发布时间 浏览数:21786)
逍鹏讲堂 | FiberCell系统的基础认识 (2023-08-01T00:00 浏览数:22171)
【文献分享】Nat Commun | 裸鼠成瘤(CDX)模型的建立与应用 (暂无发布时间 浏览数:35630)
干货:一文了解细胞库检定! (2023-07-05T09:40 浏览数:27082)
构建动物肿瘤模型的“好帮手”—VitroGel(续集) (2023-06-20T09:54 浏览数:32227)
构建动物肿瘤模型的“好帮手”—VitroGel(续集) (2023-06-15T17:37 浏览数:20703)
618年中大促! (2023-06-14T13:36 浏览数:20182)
文献中的NTA粒径浓度图那么好看怎么做的?| 希尔博士来告诉你 (2023-05-29T10:58 浏览数:22626)
Biolaminin 521|从科研到临床的长情陪伴 (2023-05-23T14:17 浏览数:22273)
